Vad händer hos veterinären?


Symtom - Hur vet jag att min hund har öroninflammation?

Alla hundar reagerar olika på en öroninflammation. En del gnuggar, kliar och ruskar på huvudet, medan andra snarare uppvisar smärta.

Örat kan vara allt ifrån lätt inflammerat med en lindrig, men synlig, förändring till mycket smärtsamt, högrött och med illaluktande sekret.

En hund med ett kliande öra låter dig oftast röra örat och gnuggar gärna örat mot din hand eller grymtar när du rör det. Om örat däremot gör ont, så är hunden ofta mindre aktiv, kan hålla huvudet på sned eller ha en hängande öronlapp och kan försöka rymma undan hantering. Om hunden skäller, morrar, ylar eller gnyr samtidigt som den ryggar undan från dig, samt om den är ovillig att låta dig rengöra eller medicinera örat, tyder det på att örat gör ont.

Det finns flera olika typer av öroninflammation, och din hunds öra kan därför se olika ut beroende på om det är första gången örat är inflammerat eller om det är ett återkommande, kroniskt, problem.

Dessa bilder visar olika stadier och typer av öroninflammation.

Bilder (CWalker, ThePhotoVet)

Boka ett besök hos veterinären så fort du märker tidiga tecken på öronbesvär hos hunden. Ett snabbt ingripande hjälper till att förebygga att besvären eskalerar, och tidig behandling av smärta och inflammation gör det lättare för din hund att tolerera både undersökning och behandling av örat.

Historik – Hur länge har din hund haft öronproblem?

För att kunna gå till botten med hundens öronproblem och planera lämpliga åtgärder, måste veterinären ta upp en noggrann anamnes (sjukdomshistoria). Det kanske sker redan vid första besöket, men det är inte ovanligt att en mer djupgående diskussion sparas till senare besök, som underlag för fler åtgärder.

Veterinären kommer att fråga när du först upptäckte din hunds symtom, om det är ett återkommande problem eller om det är första gången.

Om det är återkommande vill veterinären veta mer om när det hände förra gången och hur det behandlades. Det är viktigt att du informerar veterinären om alla öronrengöringsmedel du använt och alla läkemedel som ordinerats tidigare, såsom örondroppar, tabletter/orala lösningar eller injektioner som din hund har behandlats med.

Vanor som att ofta bada och springa i högt gräs kommer förmodligen att diskuteras, liksom andra eventuella husdjur i familjen och om du brukar använda medel mot fästingar eller loppor regelbundet.

Veterinären kommer också att vilja veta mer om din hunds allmänna hälsa och om du har märkt någon klåda genom bitande, slickande eller krafsande på andra delar av kroppen. Information kan man aldrig få för mycket av!

Undersökning – Varför undersöker veterinären hela kroppen och inte bara öronen?

Efter det inledande samtalet görs en klinisk undersökning. Veterinären gör en bedömning av din hunds allmänna hälsa samt kontrollerar hud och päls, för att se om där finns några synliga parasiter eller tecken på ett mer generellt hudproblem, såsom allergisk hudsjukdom eller hormonella sjukdomar.

Vanliga ställen där hundar visar tecken på allergisk hudsjukdom (ofta rodnad) är mellan tårna (både på över- och undersidan av tassen), runt ögonen och munnen samt i armhålorna och ljumskarna.

I de tidiga stadierna av öroninflammation ser öronlappen och hörselgången röd och kanske lite svullen ut, men vanligen ses inget sekret. När tillståndet förvärras kommer örat dock att se smutsigt och vaxigt ut, samt bli mer svullet och smärtsamt, och du kan till och med märka att det kommer ut illaluktande var ur örat.

CWalker ThePhotoVet (Vänster)

Undersökning – Varför undersöker veterinären hela kroppen och inte bara öronen?

Efter det inledande samtalet görs en klinisk undersökning. Veterinären gör en bedömning av din hunds allmänna hälsa samt kontrollerar hud och päls, för att se om där finns några synliga parasiter eller tecken på ett mer generellt hudproblem, såsom allergisk hudsjukdom eller hormonella sjukdomar.

Vanliga ställen där hundar visar tecken på allergisk hudsjukdom (ofta rodnad) är mellan tårna (både på över- och undersidan av tassen), runt ögonen och munnen samt i armhålorna och ljumskarna.

I de tidiga stadierna av öroninflammation ser öronlappen och hörselgången röd och kanske lite svullen ut, men vanligen ses inget sekret. När tillståndet förvärras kommer örat dock att se smutsigt och vaxigt ut, samt bli mer svullet och smärtsamt, och du kan till och med märka att det kommer ut illaluktande var ur örat.

CWalker ThePhotoVet (Vänster)

Otoskopi – Vad kan veterinären upptäcka med ett otoskop?

Veterinärer använder ett otoskop (ett instrument anpassat för att se in i hörselgången) för att kontrollera hundens öra. Detta är viktigt för att kunna hitta eventuella öronkvalster, upptäcka främmande partiklar eller svullnader i hörselgången, leta efter sår som kan påverka valet av behandling, och se hur trumhinnan ser ut. En sprucken trumhinna gör det hela mer komplicerat och påverkar veterinärens behandlingsplan.

För att kunna undersöka örat med otoskop behöver veterinären ofta rengöra örat först. Det kan ibland vara svårt, på grund av smärtan som öroninflammationen orsakar, och då kan hunden behöva få lugnande medel. Det kan även hända att hunden får gå hem på smärtlindring och antiinflammatorisk medicinering, för att möjliggöra ytterligare undersökningar senare.

Om din hunds öronbesvär har utvecklats till ett mer kroniskt stadium krävs ofta en djupare öronspolning. Då behöver din hund sövas med narkos samt få adekvat smärtlindring.

Otoskopi – Vad kan veterinären upptäcka med ett otoskop?

Veterinärer använder ett otoskop (ett instrument anpassat för att se in i hörselgången) för att kontrollera hundens öra. Detta är viktigt för att kunna hitta eventuella öronkvalster, upptäcka främmande partiklar eller svullnader i hörselgången, leta efter sår som kan påverka valet av behandling, och se hur trumhinnan ser ut. En sprucken trumhinna gör det hela mer komplicerat och påverkar veterinärens behandlingsplan.

För att kunna undersöka örat med otoskop behöver veterinären ofta rengöra örat först. Det kan ibland vara svårt, på grund av smärtan som öroninflammationen orsakar, och då kan hunden behöva få lugnande medel. Det kan även hända att hunden får gå hem på smärtlindring och antiinflammatorisk medicinering, för att möjliggöra ytterligare undersökningar senare.

Om din hunds öronbesvär har utvecklats till ett mer kroniskt stadium krävs ofta en djupare öronspolning. Då behöver din hund sövas med narkos samt få adekvat smärtlindring.

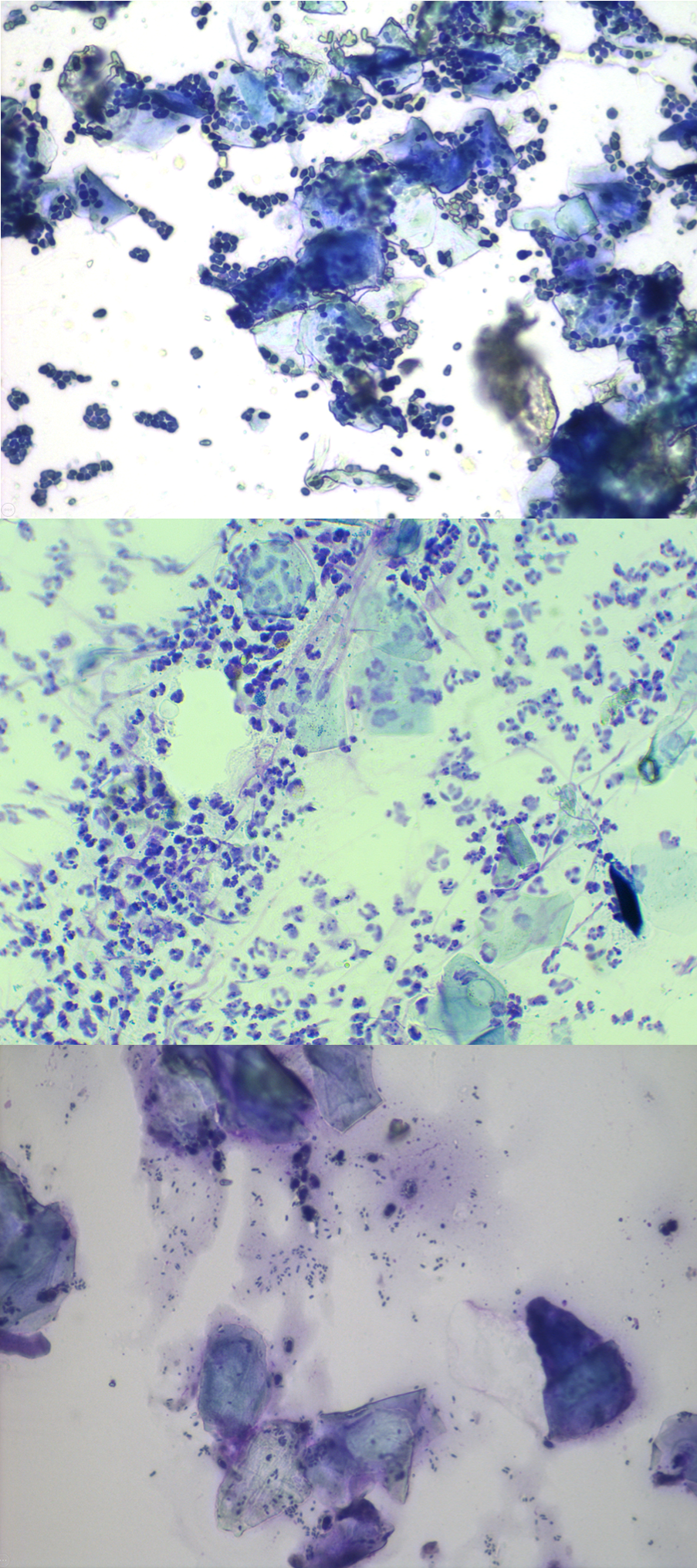
Cytologi – Varför vill veterinären göra en cytologisk undersökning?

Nästa starkt rekommenderade steg i undersökningen är att ta ett prov på det sekret som finns i hundens öra och studera det under mikroskop, en så kallad cytologisk undersökning eller cytologi.

Det är ett snabbt och enkelt test som kan utföras på veterinärkliniken och med vars hjälp veterinären kan se om det finns onormala mängder bakterier eller jästsvampar i örat.

Med en cytologiborste, bomullspinne eller kanske ett behandskat finger samlas sekret från hundens öra in och stryks ut på ett objektglas. Provet färgas med ett särskilt färgämne för att veterinären ska kunna undersöka vad som pågår i hundens öra på mikroskopisk nivå. Där kan man se om det finns en överväxt av bakterier eller jästsvampar och leta efter inflammatoriska celler, som annars är osynliga för det mänskliga ögat. 

Cytologi – Varför vill veterinären göra en cytologisk undersökning?

Nästa starkt rekommenderade steg i undersökningen är att ta ett prov på det sekret som finns i hundens öra och studera det under mikroskop, en så kallad cytologisk undersökning eller cytologi.

Det är ett snabbt och enkelt test som kan utföras på veterinärkliniken och med vars hjälp veterinären kan se om det finns onormala  mängder bakterier eller jästsvampar i örat.

Med en cytologiborste, bomullspinne eller kanske ett behandskat finger samlas sekret från hundens öra in och stryks ut på ett objektglas. Provet färgas med ett särskilt färgämne, för att veterinären ska kunna undersöka vad som pågår i hundens öra på mikroskopisk nivå. Där kan man se om det finns en överväxt av bakterier eller jästsvampar och leta efter inflammatoriska celler, som annars är osynliga för det mänskliga ögat. 

Cytologi gör det inte bara möjligt för din veterinär att välja en lämplig initial behandling, utan det är också bra att upprepa undersökningen när hunden kommer på återbesök, för att se hur behandlingen fungerar, om den behöver förändras på något sätt och för att ta fram en långsiktig plan för hundens öronproblem.

Eftersom resistensutveckling hos mikroorganismer är ett växande problem över hela världen, är det viktigt att använda enkla tester som öroncytologi för att få vägledning till en ansvarsfull behandling av patienten.

Tack vare den extra information som cytologin ger kan din veterinär använda antibiotika:

  • bara när det behövs
  • under en lämplig tidsperiod

Ladda ner information om varför antibiotika
inte alltid behövs

Varför vill veterinären göra en cytologisk undersökning?

Odling och känslighetstester – När behöver man göra en odling från proverna som tagits från hundens öra?

Om behandlingen misslyckas eller om det är svårt att se vilka bakterier som finns i cytologiprovet kan man ibland behöva skicka ett prov till laboratorium för bakterieodling samt för att testa vilket antibiotikum som är lämpligt. I de flesta fall ger dock en cytologisk undersökning tillräcklig information.

Val av behandling - Hur väljer veterinären en lämplig behandling till min hund?

När det gäller olika behandlingsalternativ mot såväl inflammation som infektion i örat har veterinärteamet många olika produkter att välja mellan, och de väljer det som är bäst för både dig och din hund. 

Vilka behandlingsalternativ finns och vilka är bäst?

När det gäller olika behandlingsalternativ mot såväl inflammation som infektion i örat har veterinärteamet många olika produkter att välja mellan, och de väljer det som är bäst för både dig och din hund. 

Ofta handlar det om ett val mellan rengöringsmedel eller antiseptiska lösningar för öronen, antiinflammatoriska örondroppar eller läkemedel med antibiotika och/eller svampdödande medel.

Det finns läkemedel som ska ges dagligen, och det finns sådana som ges på veterinärkliniken med längre mellanrum.

Smärtlindring ska alltid övervägas tillsammans med det alternativ för öronbehandling som orsakar minst smärta och obehag för dig och din hund.

Ibland behövs tabletter eller injektioner, för att behandla en mer allvarlig inflammation. Om din hund har en långt gången kronisk öronsjukdom kan den till och med behöva en omfattande operation.

Anledningen till det stora urvalet behandlingar mot öroninflammation är att det inte finns en specifik lösning som passar alla situationer.  Det kan till och med vara så att de olika öronen hos samma hund behöver olika typer av behandling!

För att kunna välja den bästa behandlingen till din hund kommer veterinärteamet att ta hänsyn till följande faktorer:

  • Smärta hos hunden
  • Inflammationsgraden
  • Tecken på överväxt av bakterier och jästsvampar
  • Nationella riktlinjer för val av läkemedel
  • Dina och din hunds individuella omständigheter när det gäller kostnad och hur lätt behandlingen är att utföra.


Som redan nämnts reagerar alla hundar olika på en öroninflammation. Detta påverkar inte bara ditt besök hos veterinären, utan kan också innebära att din hund inte accepterar behandlingen.

Det är inte bara hunden man måste tänka på, utan även djurägaren. För en del är daglig medicinering och rengöring av öronen inga problem alls. Andra kan ha stora problem med att ge läkemedlet i örat och för en del kan produktens fysiska egenskaper, till exempel om den har små och pilliga lock, göra användningen besvärlig. 

Om läkemedlet inte kan appliceras på rätt sätt påverkas inte bara resultatet, utan det finns även en ökad risk för utveckling av resistenta mikroorganismer. 

Som du ser måste veterinären ta hänsyn till många olika faktorer när han eller hon bestämmer sig för det bästa behandlingsalternativet för din hunds öra. Du kan hjälpa till genom att ge en tydlig beskrivning av vilka problem din hund har, dokumentera symtom från öronen och även notera hur hunden har svarat på eventuella tidigare behandlingar. 

Ladda ner en dagbok för din hunds öron


keyboard_arrow_up